Toggle navigation
Home
About
About Us
The Team
Fees
Treatments
Cosmetic Dentistry
Restorative Dentistry
Orthodontics
Examination Appointment
Implants
Gallery
Composite Veneers
Teeth Whitening
Composite Replacing Amalgam
Orthodontics
Forge House Dental
FAQs
Testimonials
Contact
‹
›
×
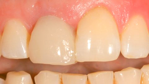
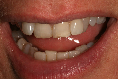
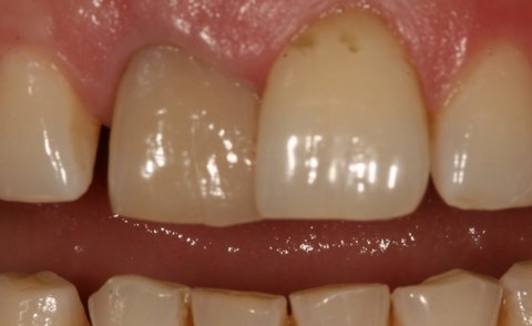
Composite Veneers